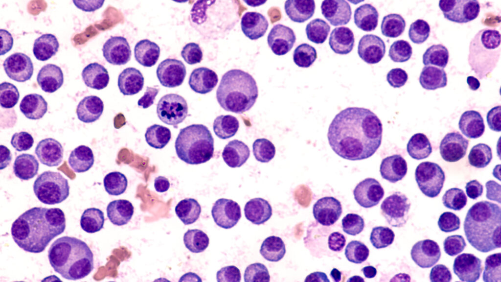
STAT+: In early trial, CAR-T results raise hope of preventing multiple myeloma in high-risk patients

Stat News4/20/2026 – 4/21/2026

Summary

No summary yet.

Share:XRedditLinkedIn

Advertisement

Lindy Score Breakdown (V4.2)

0h
Age
1
Sources
from cluster
1
Hours Since Seen
Final Score12/100
CategorySingleSource
StatusActive
Recency Multiplier99% (0.5^1/48)
Hero EligibleNo

Score BreakdownRisk 70

Source Reputation: Low-trust source (4/20 pts)
Consensus: Single source - no independent confirmation yet
Age: Breaking news - too recent to assess longevity

Stories gain Lindy status through source reputation, network consensus, and time survival.

Breaking Similar stories