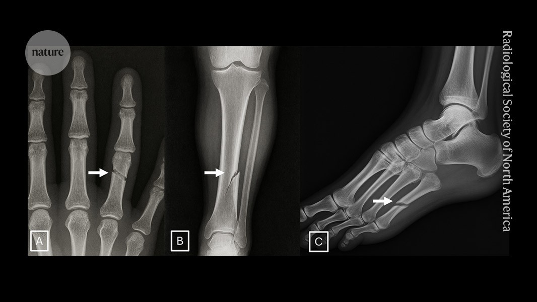
These medical X-rays are all deepfakes — and they fool even radiologists

Nature3/24/2026

Summary

No summary yet.

Share:XRedditLinkedIn

Advertisement

Lindy Score Breakdown (V4.2)

16h
Age
2
Sources
from cluster
1
Hours Since Seen
Final Score27/100
CategoryBreaking
StatusActive
Recency Multiplier99% (0.5^1/48)
Hero EligibleYes

Story Timeline

  1. 2026-03-24
    These medical X-rays are all deepfakes — and they fool even radiologists (current)

Score BreakdownRisk 40

Source Reputation: Moderate trust (10/20 pts)
Consensus: Emerging consensus: 2 sources
Age: Breaking news - too recent to assess longevity

Stories gain Lindy status through source reputation, network consensus, and time survival.

Same Story from 2 sources

Related Stories

Breaking Similar stories

Anti-Lindy Similar stories